Einleitung: Im Jahr 1508 wurde von Leonardo da Vinci erstmalig das Konzept der optischen Neutralisierung der Kornea mittels einem Flüssigkeitsreservoir vorgeschlagen (Da Vinci, 1953). Die praktische und klinische Entwicklung von Kontaktlinsen begann schließlich vor mehr als einem Jahrhundert durch Adolf Eugen Fick. Damals verwendete Fick Skleral- oder Haptik-Designs, welche aus Glas geblasen wurden. (Fick, 1888) Die Einführung der Molding Technik für Linsen aus Glas 1936 durch Dallos und die Einführung von Polymethylmetharcylat (PMMA) durch Feinbloom, Obrig und Gyoffry in den 1940iger Jahren waren bedeutende Meilensteine für die Herstellung von Kontaktlinsen (Tan, Pullum, & Buckley, 1995). Ein weiterer Meilenstein für die Verbesserung der Augengesundheit stellt die Verwendung von gasdurchlässigen Sklerallinsen dar (Ezekiel, 1983). Die Entwicklung und Einführung der heutigen kornealen, gasdurchlässigen und später der weichen Kontaktlinsen stoppte die Weiterentwicklung von Sklerallinsen zwischenzeitlich. Heutzutage erleben wir jedoch ihre Renaissance, sodass sie fast vollständig zurück − als ein Lösung für anspruchsvolle Kornea-Konditionen − ist. (van der Worp, 2010)
1. Indikationen für die Anpassung von Sklerallinsen
Sklerallinsen kommen häufig dann zum Einsatz, wenn mit normalen, formstabilen Kontaktlinsen kein akzeptables Zentrierverhalten und/oder Sehvermögen erreicht wird. Zudem werden Sklerallinsen in Fällen angepasst, bei denen die Kornea und/oder die Sklera extrem trocken ist und somit einen Schutz vor Austrocknung bzw. eine Befeuchtung dieser Areale notwendig wird. Hinzu kommt, dass es aufgrund verschiedener Konditionen oftmals notwendig ist, die Auflage der Kontaktlinse hinter dem Limbus auf die Sklera zu verlagern, um eine Verbesserung der Kontaktlinsen Anpassung zu erzielen. Als Ursache dafür kommen folgende Gründe in Frage: – unakzeptables Sitz- und Zentrierverhalten von kornealen Kontaktlinsen – Diskomfort mit kornealen Kontaktlinsen – Unverträglichkeit von formstabilen Kontaktlinsen – Unverträglichkeit von anderen Kontaktlinsensystemen Grundsätzlich lassen sich die Indikationen für die Anpassung von Sklerallinsen in die zwei folgenden Gruppen unterteilen:
1.1 Indikationen in Verbindung mit Irregularitäten der Kornea
- Ektasien der Kornea
- Keratokonus
- Pellucide marginale Degeneration (PMD)
- Intacts und korneal Cross-linking
- Ektasien nach chirurgischen Eingriffen
- Keratoplastik
- Trauma
- Etc.
1.2 Indikationen in Verbindung mit trockenem Auge
- Kontaktlinsen induziertes trockenes Auge
- Verringerter Tränenmeniskus
- Verringerte Tränenproduktion
- Pathologisch bedingtes trockenes Auge
- Verätzungen des vorderen Augenabschnittes
- Steven-Johnson Syndrom
- Neurotrophic Keratitis
- Fortgeschrittenes trockenes Auge (Sjögren Syndrom, Keratopathia filamentosa)
- Fazialis Parese
- Etc.
2. Aufbau der i-MATRIX Sklerallinse
Die Rückflächengeometrie der i-MATRIX gleicht einer tangentialen Geometrie und wird grundsätzlich durch folgende 3 Zonen charakterisiert:
- Zentrale Rückflächenzone (BOZD)
- Limbalzone (BPZD 1)
- Skleralzone (BPZD 2)

Abbildung 1: Aufbau der i-MATRIX
Die Abbildung zeigt den Aufbau der i-MATRIX Sklerallinse mit einer Basiskurve von 7,6 mm. Der blau dargestellte Bereich zeigt die Basiskurve (r0), den Durchmesser der zentralen Rückflächenzone (BOZD) und die dazugehörige Scheiteltiefe (x0). Der rote Bereich stellt die Limbalzone mit dem dazugehörigen Durchmesserbereich (BPZD 1) und die dazugehörige Scheiteltiefe (x1) dar. Der grün dargestellte Bereich symbolisiert die Skleralzone mit dem dazugehörigen Durchmesserbereich (BPZD 2) und die dazugehörige Gesamtscheiteltiefe (x2).
An die sphärische zentrale Rückflächenzone (BOZD) folgt die tangentiale Limbalzone und abschließend die tangentiale Skleralzone (Abb. 1).
2.1 Aufbau der i-MATRIX // Zentrale Rückflächenzone (BOZD)

Abbildung 2: Aufbau der zentralen Rückflächenzone (BOZD)
Die Abbildung zeigt den Aufbau der BOZD (blauer Bereich) am Beispiel einer Basiskurve (r0) von 7,6 mm in Verbindung mit der Standard BOZD von 10,0 mm. Die dazugehörige zentrale Scheiteltiefe von 1,876 mm wird durch den Parameter „x0“ angegeben.
Die zentrale Rückflächenzone (BOZD) wird durch die Basiskurve (r0), die zentrale Scheiteltiefe (x0) und den Durchmesser der zentralen Rückflächenzone charakterisiert (Abb. 2). Der Durchmesser der BOZD beträgt standardmäßig 10,0 mm und variiert nicht mit dem Gesamtdurchmesser oder der Basiskurve der i-MATRIX.
Der Parameter „x0“ ist in der Anpassung maßgebend für die Überbrückung der zentralen Kornea. Wird die zentrale Kornea zu exzessiv überbrückt, muss die zentrale Scheiteltiefe x0 − über eine Abflachung der Basiskurve − verringert werden. Liegt die Sklerallinse hingegen bereits auf Teilen der zentralen Kornea auf, muss die zentrale Scheiteltiefe x0 − über eine Versteilung der Basiskurve − erhöht werden.
2.2 Aufbau der i-MATRIX // Limbalzone (BPZD 1)
Anschließend an die BOZD folgt die Limbalzone (BPZD 1). Diese Zone ist gleichzeitig die Verbindung zwischen der zentralen Rückflächenzone und der abschließenden Skleralzone (Abb. 3).

Abbildung 3: Aufbau der Limbalzone (BPZD 1)
Die Abbildung zeigt den tangentialen Aufbau der BPZD 1 (roter Bereich). Die Abflachung der BPZD 1 wird über die Scheiteltiefe x1 gesteuert.
Mit der Limbalzone, beginnt ebenfalls der tangentiale Aufbau der i-MATRIX Sklerallinse. Dies wiederum bedeutet, dass der geometrische Verlauf der Rückfläche beginnend mit der Limbalzone nicht mehr über einen Radius, sondern über einen Winkel beschrieben wird. Eine Änderung der Abflachung der Limbalzone kann entweder über eine Änderung des Winkels oder gebräuchlicher über eine Änderung der Scheiteltiefe x1 erzielt werden. Dabei gilt es zu beachten, dass eine Modifikation des Winkels um 1° eine Änderung der Scheiteltiefe x1 um ca. 25 μm zur Folge hat.
Die Limbalzone ist jedoch nicht nur die Verbindung zwischen der zentralen Rückflächenzone und der Skleralzone, sondern sie übernimmt in der Anpassung folgende zwei konkrete Aufgaben:
- Entlastung der peripheren Kornea und
- Überbrückung des Limbus
2.3 Aufbau der i-MATRIX // Skleralzone (BPZD 2)
Als dritte und letzte Zone anschließend an die Limbalzone, folgt die Skleralzone (Abb. 4). Wie bei der Limbalzone, wird auch diese Zone − aufgrund des tangentialen Aufbau − geometrisch über einen Winkel anstatt über einen Radius beschrieben.

Abbildung 4: Aufbau der Skleralzone (BPZD 2)
Die Abbildung zeigt den Aufbau der BPZD 2 (grüner Bereich). Die dazugehörige Scheiteltiefe wird durch den Parameter „x2“ angegeben.
Stellvertretend für die Abflachung der Skleralzone steht die Scheiteltiefe x2. Eine Änderung der Abflachung der Skleralzone kann (wie bei der Limbalzone) entweder über eine Änderung des Winkels oder gebräuchlicher, über eine Änderung der Scheiteltiefe erzielt werden. Dabei gilt es wiederum zu beachten, dass eine Änderung des Winkels um 1° eine Änderung der Scheiteltiefe „x2“ um ca. 25 μm zur Folge hat.
3. Anpassung der i-MATRIX Sklerallinse
Die Anpassung der i-MATRIX Sklerallinse unterteilt sich allgemein in folgende 2 Schritte:
- Auswahl des Gesamtdurchmessers der i-MATRIX im Vergleich zum Kornea-Durchmesser
- Auswahl der Basiskurve in Abhängigkeit von der Indikation der Sklerallinsen-Anpassung
In der Regel spielen die zentralen Radien und die nummerische Exzentrizität der Kornea für die Anpassung von Sklerallinsen eine untergeordnete Rolle. Aus diesem Grund, wird für die Anpassung bzw. Auswahl der Basiskurve ein Anpasssatz benötigt. Der Anpasssatz beinhaltet insgesamt 12 Kontaktlinsen, unterteilt in 3 Basiskurven (Steil, Mittel und Flach) und vier verschiedene Durchmesser (17,0 mm / 17,5 mm / 18,0 mm / 18,5 mm).
Abbildung 5: Darstellung der i-MATRIX Sklerallinse im optischen Schnitt, in der Fluoreszein-Übersichtsbetrachtung und in der Weiss-Licht-Übersichtsbetrachtung
Der linke Teil der Abbildung zeigt die i-MATRIX Sklerallinse im optischen Schnitt. Der mittlere Teil der Abbildung zeigt die i-MATRIX Sklerallinse in der Fluoreszein Übersichtsbetrachtung. Der rechte Teil der Abbildung zeigt die i-MATRIX Sklerallinse in der Weiss-Licht-Übersichtsbetrachtung.
Unabhängig von der Indikation ist das Ziel jedoch stets gleich und stellt sich wie folgt dar:
- Überbrückung der Kornea von ca. 350 μm (Abb. 5 linker Teil)
- Überbrückung der peripheren Kornea und des Limbus (Abb. 5 mittlerer Teil)
- Auflage der i-MATRIX auf der Sklera ohne eine Abstehen des Randes oder Kompressionen der konjunktivalen Gefässe (Abb. 5 rechter Teil)
3.1 Auswahl des Gesamtdurchmesser der i-MATRIX im Vergleich zum horizontalen, sichtbaren Irisdurchmesser
Durch die korrekte Wahl des Gesamtdurchmesser zum Kornea-Durchmesser (Tab. 1) wird sichergestellt, dass bei geeigneter Wahl der Basiskurve die Kornea nicht nur zentral, sondern auch peripher und limbal entlastet wird.
|
Iris Durchmesser |
Gesamtdurchmesser der i-MATRIX |
|
Bis 11,3 mm |
17,0 mm |
|
11,4 mm bis 11,8 mm |
17,5 mm |
|
11,9 mm bis 12,3 mm |
18,0 mm |
|
Ab 12,4 mm |
18,5 mm |
Tabelle 1: Auswahl des Gesamtdurchmesser im Vergleich zum Kornea-Durchmesser
Dies resultiert daher, dass der Durchmesser der Limbalzone mit dem Gesamtdurchmesser der i-MATRIX variiert. Um die Kornea vollständig (zentral, peripher und limbal) zu entlasten, empfehlen wir zur Auswahl des Gesamtdurchmesser die Vorgehensweise in Tabelle 1 einzuhalten.
3.2 Auswahl der Basiskurve in Abhängigkeit der Indikation der Sklerallinsen-Anpassung
Im Gegensatz zur Anpassung kornealer, formstabiler Kontaktlinsen, spielen bei der Sklerallinsen-Anpassung die Radien der Kornea eine untergeordnete Rolle. Daher empfehlen wir, die Auswahl der Basiskurve der ersten Anpasslinse in Abhängigkeit zur Indikation der Sklerallinsen-Anpassung zu stellen. Grundsätzlich unterscheiden wir für die Auswahl der Basiskurve folgende zwei Indikationen:
- Indikationen in Verbindung mit Irregularitäten der Kornea und
- Indikationen in Verbindung mit trockenem Auge
Für die Auswahl der Basiskurve in Abhängigkeit der Indikation, empfehlen wir die Vorgehensweise (Tabelle 2). Liegen Indikationen der Gruppe 1 und 2 gleichzeitig vor, ist die Indikation der Gruppe 1, die dominante Indikation zur Auswahl der Basiskurve.
|
Indikation |
Beschreibung |
Basiskurve |
|
1. Indikationen in Verbindung mit Irregularitäten der Kornea
|
Ektasien der Kornea (Keratokonus, PMD), Intacs, Ektasien nach chirurgischen Eingriffen, Keratoplastik, Trauma |
Mit BC 7,2 (Mittel) starten. A) Liegt die KL grossflächig auf, wechseln Sie auf BC 6,6 (Steil). |
|
2. Indikationen in Verbindung mit trockenem Auge |
Ausgeprägtes Sicca-Syndrom, Steven-Johnson-Syndrom, Sjögren Syndrom, Verätzungen des vorderen Augenabschnittes, Neurotrophic Keratitis, Keratopathia filamentosa |
Mit BC 7,8 (Flach) starten. Liegt die KL grossflächig auf, wechseln Sie auf BC 7,2 (Mittel). |
Tabelle 2: Auswahl der Basiskurve in Abhängigkeit der Indikation der Sklerallinsen-Anpassung
3.2.1 Auswahl der Basiskurve im Vergleich zum Korneo-Skleral-Profil
Zusätzlich zur Auswahl der Basiskurve in Abhängigkeit der Indikation der Sklerallinsen-Anpassung, empfehlen wir die Schätzung der Basiskurve bzw. die Schätzung der Scheiteltiefe x0 anhand des Korneo-Skleral-Profil.
Abbildung 6: Auswahl der Basiskurve im Vergleich zum Kornea-Skleral-Profil
Der linke Teil der Abbildung zeigt das Kornea-Skleral-Profil eines Patienten nach perforierenden Keratoplastik und Herpesinfektion. Der mittlere Teil der Abbildung zeigt die Tiefe der Tränenlinse im Vergleich zur Mittendicke der Sklerallinse im optischen Schnitt. Der rechte Teil der Abbildung zeigt die Überbrückung der Kornea und des Limbus in der Übersichtsdarstellung.
Bei der in Abbildung 6 dargestellten Kornea handelt es sich um eine Keratoplastik mit Herpesinfektion. Nach der Indikation empfiehlt es sich, die Anpassung mit der Basiskurve 7,2 mm zu starten. Wird jedoch zusätzlich das Korneo-Skleral-Profil (linker Teil der Abb. 6) berücksichtigt, sollte in diesem Fall die Anpassung gleich mit der Basiskurve 6,6 mm begonnen werden. Grund hierfür, ist die sehr hohe Scheiteltiefe des Korneo-Skleral-Profil.
4. Beurteilung der i-MATRIX Sklerallinse
Die Beurteilung der i-MATRIX Sklerallinse unterteilt sich in folgende Schritte:
- Beurteilung der Überbrückung der Kornea
- Beurteilung der Überbrückung des Limbus und der peripheren Kornea
- Beurteilung der Skleralauflage
Um die Überbrückung der Kornea beurteilen zu können, müssen Sklerallinsen mit steriler Kochsalzlösung aufgefüllt und mit Beigabe von Fluoreszein kopfüber aufgesetzt werden. Sofort nach dem Aufsetzen sollte der Überbrückungszustand der Kornea beurteilt werden. Die Beurteilung der Überbrückung unterteilt sich dabei grundsätzlich in 2 Schritte.
- Beurteilung der Überbrückung in der Fluoreszein Gesamtübersicht
- Beurteilung der Überbrückungstiefe
Wird die Kornea vollständig überbrückt, kann die Sklerallinse für eine erneute Beurteilung ca. 2 Stunden eingetragen werden.
4.1 Beurteilung der Überbrückung in der Fluoreszein-Gesamtübersicht
Mit Hilfe dieser Beurteilungsart kann sehr schnell festgestellt werden, ob die Sklerallinse die gesamte Kornea (zentral, peripher und limbal) genügend überbrückt oder in bestimmten Bereichen eine Auflage zu sehen ist. Allerdings ist mit dieser Beurteilungsart keine Aussage über die Überbrückungstiefe der Kornea möglich.
Abbildung 7: i-MATRIX Sklerallinse in der Fluoreszein-Gesamtübersicht
Der linke Teil der Abbildung zeigt eine i-MATRIX Sklerallinse in der Fluoreszein Gesamtübersicht auf einem Auge mit Keratokonus. Durch die zu geringe zentrale Scheiteltiefe x0 liegt die Sklerallinse zentral am Apex auf. Im rechten Teil der Abbildung wird hingegen die komplette Kornea (zentral, peripher und limbal) überbrückt.
Wird die Kornea genügend überbrückt und sind keine größeren Auflagezonen sichtbar, kann die Basiskurve vorerst beibehalten werden (Abb. 7 rechts). Sind bei dieser Beurteilungsart jedoch bereits größere Auflagezonen auf der Kornea zu erkennen, ist die zentrale Scheiteltiefe x0 zu gering (Abb. 7 links). In diesem Fall, muss eine weiter Anpasslinse mit einer entsprechend steileren Basiskurve und somit höheren zentralen Scheiteltiefe aufgesetzt werden.
4.2 Beurteilung der Überbrückungstiefe
Anschliessend an die Beurteilung der Überbrückung in der Fluoreszein Gesamtübersicht, folgt die Beurteilung der Überbrückungstiefe. Die Beurteilung der Überbrückungstiefe der Kornea, kann − abhängig vom vorhandenen Equipment − über folgende zwei Methoden evaluiert werden:
- Schätzung der Überbrückung im optischen Schnitt
- Messung der Überbrückung mit dem OCT oder einer Scheimpflug-Kamera
4.2.1 Schätzung der Tränentiefe im optischen Schnitt (Abb. 8)
Die Schätzung der Tiefe der Tränenlinse mit dem optischen Schnitt erfolgt im Vergleich zur Mittendicke der Sklerallinse (tc = 0,35 mm bzw. 350 μm) oder zur Kornea-Dicke (falls Pachymetry bekannt).
Abbildung 8: Schätzung der Tränentiefe mit dem optischen Schnitt
Die Abbildung zeigt die Tiefe der Tränenlinse im optischen Schnitt. Im Vergleich zur Mittendicke der Sklerallinse (tc=0,35 mm), beträgt die Überbrückungstiefe etwa 0,55 mm bzw. 550 μm.
Für diese Beleuchtungsart ist es empfehlenswert, den Gelbfilter aus der Beobachtungseinheit der Spaltlampe zu entfernen und die Beleuchtung auf „Weißlicht“ zu wechseln. Zudem sollte der Spalt möglichst eng gestellt werden und die Beleuchtungseinheit genügend weit ausgeschwenkt werden, um die zentrale Tränentiefe im Vergleich zur Mittendicke zu schätzen.
4.2.2 Beispiele zur Beurteilung der Basiskurve in der Übersichtsbeurteilung und im optischen Schnitt
Abbildung 9: Beurteilung der zentralen Überbrückung
Die Abbildung zeigt die Beurteilung der Überbrückung der Kornea in der Übersichtsdarstellung (oben) und im jeweils dazugehörigen optischen Schnitt (unten).
Im linken Teil der Abbildung 9 wurde die Basiskurve und somit die zentrale Scheiteltiefe x0 deutlich zu steil gewählt. Der mittlere Teil der Abbildung 9 (oben und unten) zeigt eine ideale Überbrückung der Kornea in der Übersichtsdarstellung (oben) und im optischen Schnitt (unten) im Vergleich zur Mittendicke der Sklerallinse.
Im rechten Teil der Abbildung 9 ist eine Sklerallinsen Versorgung bei Keratokonus dargestellt. In der Übersichtsdarstellung (oben) zeigt sich eine Auflage auf dem Konus. Im optischen Schnitt (unten) ist zu sehen, dass die Überbrückung im diesem Areal deutlich zu gering ist. Um die Kornea komplett zu überbrücken, muss die zentrale Scheiteltiefe x0 − durch eine Versteilung der Basiskurve − erhöht werden.
4.2.3 Messung der Überbrückung mit einem OCT oder einer Scheimpflug-Kamera
Mit Hilfe eines OCT`s oder einer Scheimpflug-Kamera, kann die Überbrückung der Kornea − im Gegensatz zum optischen Schnitt − direkt gemessen werden.
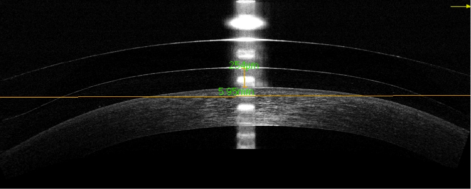
Abbildung 10: Messung der Überbrückung mit dem OCT
Die Abbildung zeigt die Überbrückung einer i-MATRIX Sklerallinse im optischen Schnitt(links) und im OCT dargestellt (rechts). Gemessen mit dem OCT, beträgt die Überbrückung der Kornea ca. 800 μm.
Die Abbildung 10 zeigt die Überbrückung der Kornea im optischen Schnitt (links) und die tatsächliche Überbrückung gemessen mit einem OCT (rechts). Die Überbrückung der zentralen Kornea beträgt ca. 800 μm. Anstatt die Änderung der zentralen Überbrückung von 450 μm zu schätzen, kann sie direkt berechnet werden. Für die Berechnung der Parameter der resultierenden Sklerallinse, stellen wir dem Anpasser ein Software-Tool zu Verfügung.
4.3 Beurteilung der Überbrückung der peripheren Kornea und des Limbus
Die Beurteilung der Überbrückung der peripheren Kornea und des Limbus ist ein essentieller Schritt zur erfolgreichen Anpassung der i-MATRIX Sklerallinse. Zeigt sich in der Fluoreszein-Übersichtsbetrachtung eine Auflage peripher auf der Kornea, muss zuerst geprüft werden, ob der Gesamtdurchmesser passend zum Durchmesser der Kornea gewählt wurde.
4.3.1 Vergrösserung des Gesamtdurchmesser bei ungenügender Entlastung der peripheren Kornea und des Limbus
Abbildung 11: Vergrößerung des Gesamtdurchmesser bei ungenügender Entlastung der peripheren Kornea & Limbus
Die Abbildung zeigt eine Kornea mit einem Durchmesser von 12,5 mm. Im linken Teil der Abbildung, beträgt der Gesamtdurchmesser der Sklerallinse 17,5 mm. Diese liegt peripher ringsum auf der Kornea auf und belastet den angrenzenden Limbus. Durch die Vergrösserung des Gesamtdurchmessers auf 18,5 mm (rechts), wird die periphere Kornea und der angrenzende Limbus vollständig entlastet.
In Abbildung 11 ist eine Anpassung abgebildet, bei welcher der Durchmesser der Kornea 12,5 mm beträgt. Im linken Teil der Abbildung 11 beträgt der Durchmesser der Sklerallinse 17,5 mm. Durch den im Vergleich zum Kornea-Durchmesser zu klein gewählten Kontaktlinsen-Durchmesser, liegt die i-MATRIX peripher auf der Kornea ringsum auf und belastet den angrenzenden Limbus (Abb. 11 links). Diese Areale werden durch eine Vergrösserung des Gesamtdurchmessers auf 18,5 mm vollständig entlastet (Abb. 11 rechts).
4.3.2 Erhöhung der Scheiteltiefe x1 bei ungenügender Entlastung der peripheren Kornea und des Limbus
Liegt die i-MATRIX Sklerallinse peripher auf der Kornea und dem angrenzenden Limbus auf bzw. werden diese Areale unzureichend entlastet obwohl der Gesamtdurchmesser im Vergleich zum Durchmesser der Kornea passend ist, wird eine bessere Überbrückung dieser Areale durch eine Erhöhung der Scheiteltiefe x1 erzielt.
Abbildung 12: Erhöhung der Scheiteltiefe x1
Die Abbildung zeigt den Effekt, der aus eine Erhöhung der Scheiteltiefe x1 resultiert. Der obere Teil der Abbildung (links und rechts) zeigt eine i-MATRIX mit der BC 7,4 mm im Durchmesser 17,5 mm (x1&x2 = STD) auf einer Kornea mit einem Durchmesser von 11,5 mm. Obwohl der Gesamtdurchmesser der Anpassempfehlung entspricht, liegt die Sklerallinse ringsum auf der peripheren Kornea auf (links oben). Die Überbrückung der Kornea im optischen Schnitt beträgt mit dieser Kontaktlinse etwa 250 μm (rechts oben). Um eine höhere Überbrückung der peripheren Kornea zu erreichen, wurde einzig die Scheiteltiefe x1 um 100 μm erhöht (links unten). Im optischen Schnitt zeigt sich diese Sklerallinse etwa 350 μm überbrückend (rechts unten).
Der obere Teil der Abbildung 12 (links und rechts) zeigt eine i-MATRIX BC 7,4 mm Dt 17,5 mm x1 STD x2 STD auf einer Kornea mit einem Durchmesser von 11.5 mm. Obwohl der Gesamtdurchmesser im Vergleich zum Kornea-Durchmesser ideal gewählt wurde, zeigt sich in der Fluoreszein-Gesamtübersicht eine Auflage peripher auf der Kornea (links oben). Die zentrale Überbrückung im optischen Schnitt, beträgt etwa 250 μm (rechts oben). Um die periphere Auflage auf der Kornea zu beseitigen, wurde die Scheiteltiefe x1 um 100 μm erhöht (links unten). Die zentrale Überbrückung mit dieser Sklerallinse beträgt nun ca. 350 μm (rechts unten).
4.3.3 Änderung der zentralen Überbrückung bei Änderung der Scheiteltiefe x1
Wie die Fallbeschreibung in Abbildung 12 zeigt, überträgt sich eine Änderung der Scheiteltiefe x1 1:1 auf die zentrale Überbrückung. In Abbildung 13 wird dieser Effekt noch einmal genauer mit dem Optovue OCT dargestellt.
Abbildung 13: Änderung der zentralen Überbrückung durch Erhöhung der Scheiteltiefe der x1
Der obere Teil der Abbildung zeigt eine i-MATRIX mit einer BC 7,6 mm im Durchmesser 17,5 mm und einer Standard Scheiteltiefe der Limbalzone (x1 = STD). Die gemessene zentrale Überbrückung mit dem Optovue OCT beträgt ca. 250 μm. Der untere Teil der Abbildung zeigt hingegen eine i-MATRIX mit einer BC 7,6 mm im Durchmesser 17,5 mm bei der die Scheiteltiefe x1 um 200 μm erhöht wurde. Die zentrale Überbrückung erhöht sich dadurch, um den Betrag der Änderung der Scheiteltiefe x1, auf ca. 450 μm.
Der obere Teil der Abbildung 13 zeigt eine i-MATRIX mit der BC 7,6 mm im Durchmesser 17,5 mm und x1 = STD. Die Überbrückung im Zentrum beträgt mit dieser Sklerallinse ca. 250 μm.
Anschliessend wurde dem Patienten eine Sklerallinse aufgesetzt, bei welcher die Scheiteltiefe x1 um 200 μm erhöht wurde (Abb. 13 unten). Alle anderen Parameter wurden beibehalten. Durch die Erhöhung der Scheiteltiefe x1 um 200 μm, erhöht sich ebenfalls die Überbrückung im Zentrum von ca. 250 μm auf ca. 450 μm.
Soll die zentrale Überbrückung bei einer Änderung der Scheiteltiefe x1 beibehalten werden, so muss die zentrale Scheiteltiefe x0 und somit die Basiskurve entsprechend modifiziert werden. Für derartige Berechnungen, empfehlen wir die Verwendung des Appenzeller „Scleral-Lens-Calculator“.
4.3.4 Quadrantenspezifische Modifikation der Scheiteltiefe x1
Durch die Möglichkeit der quadrantenspezifischen Modifikation der Scheiteltiefe x1, kann eine Entlastung der peripheren Kornea in einem Quadranten − ohne gleichzeitige Zunahme der zentralen Überbrückung − erzielt werden.
Abbildung 14: Quadrantenspezifische Modifikation der Scheiteltiefe x1
Der obere Teil der Abbildung (links und recht) zeigt eine rotationssymmetrische i-MATRIX (BC 7,0 / Dt 17,5 / X1 STD / x2 STD) auf einer Kornea nach perforierender Keratoplastik. Peripher auf ca. 10 Uhr liegt die Sklerallinse im Bereich der Naht deutlich auf. Bei der abschließenden Sklerallinse (unten rechts und link) handelt es sich um eine limbal-quadrantenspezifisches Rückflächendesign. Gegenüber der rotationssym. Variante (oberer Teil der Abbildung), wurde a) die Scheiteltiefe x1 auf 90° um 300 um erhöht und b) der Gesamtdurchmesser von 17,5 mm auf 18,0 mm vergrößert. Durch diese Maßnahmen konnte die Kornea abschließend vollständig überbrückt werden, ohne dass die zentrale Überbrückung wesentlich zunimmt.
Die Abbildung 14 zeigt eine Sklerallinsen-Anpassung nach perforierender Keratoplastik OS. Links oben in der Fluoreszein-Gesamtübersicht der Abbildung 14 ist eine rotationssymmetrische i-MATRIX (BC 7,0 / Dt 17,5 / x1 STD / x2 STD) dargestellt. Peripher auf ca. 10 Uhr, liegt die Sklerallinse im Bereich der Naht deutlich auf. Ebenfalls zeigt sich in diesem Bereich − bei der Messung mit der Pentacam − eine Auflage auf der Kornea (Abb. 14 rechts oben).
Um die periphere Auflage auf der Kornea im Bereich der Naht zu reduzieren, wurde abschließend ein limbal-quadrantenspezifisches Design (i-MATRIX L-QSD BC 7,0 / Dt 18,0 / x1_(90°) +0,3 / x1_(0°/180°/270°) STD / x2 STD) angepasst (Abb. 14 unten).
Durch die Erhöhung der Scheiteltiefe x1 auf 90° um 300 μm, wird die periphere Kornea auf ca. 10 Uhr ausreichend entlastet, ohne das die zentrale Überbrückung wesentlich zunimmt.
4.4 Beurteilung der Skleralauflage
Die Beurteilung der Skleralauflage sollte mit Weißlicht im gesamten Auflagebereich erfolgen (Abb. 15). Wird die Kornea und der Limbus komplett überbrückt, lastet die komplette Auflagelast auf der Sklera im Bereich der Skleralzone der i-MATRIX. Bei der Beurteilung der Skleralauflage muss genau beobachtet werden, ob im bestimmten Bereichen der Auflagezone 1) Gefäße der darunter liegenden Konjunktiva komprimiert werden und/oder 2) der Rand absteht.
Abbildung 15: Beurteilung der Skleralauflage
Die Abbildung zeigt die Beurteilung der Skleralauflage der i-MATRIX im gesamten Auflagebereich unter Verwendung von Weißlicht beim Blick geradeaus.
Die in Abbildung 15 dargestellte Anpassung der i-MATRIX zeigt eine ideale Auflage und somit eine ideale Druckverteilung der gesamten Skleralzone auf der Sklera.
4.4.1 Steile Skleralauflage (Blanching)
Zeigt sich in der Spaltlampen Untersuchung ein Blanching nah am Rand der Kontaktlinse, muss die Scheiteltiefe x2 reduziert werden. Durch die Reduzierung der Scheiteltiefe x2 wird eine Verkleinerung des Winkels der Skleralzone erzielt. Folglich wird der Auflagedruck der Sklerallinse, gleichmäßiger auf die darunterliegende Sklera verteilt.
Abbildung 16: Blanching
Die Abbildung zeigt ein deutliches Blanching der konjunktivalen Gefässe nah am Rand der Sklerallinse (links). Um die Auflage auf die Konjunktiva zu optimieren, wurde die Scheiteltiefe x2 um 300 μm reduziert (rechts).
Der linke Teil der Abbildung 16 zeigt eine Sklerallinsen-Anpassung, bei der die Skleralauflage deutlich zu steil ist. Um den Auflagedruck optimaler auf die gesamte Skleralzone zu verteilen, wurde die Scheiteltiefe x2 um 300 μm reduziert (Abb. 16 rechts).
4.4.2 Flache Skleralauflage
Eine flache Skleralauflage zeigt sich häufig durch einen abstehenden Rand der Sklerallinse im Zusammenhang mit einem Blanching der konjunktivalen Gefässe mittelperipher im Skleralauflage-Bereich (Abb. 17). Stellt sich in der Spaltlampen-Untersuchung ein derartiger Befund dar, muss die Skleralauflage über eine Erhöhung der Scheiteltiefe x2 optimiert werden.
Abbildung 17: Flache Skleralauflage
Die Abbildung (links und rechts) zeigt eine i-MATRIX Sklerallinse mit abstehenden Rand und mittelperipheren Blanching der konjunktivalen Gefässe. Um die Skleralauflage zu optimieren, muss die Scheiteltiefe x2 erhöht werden.
Im linken Teil der Abbildung 17 wird ein Fall dargestellt, in welchem die i-MATRIX am Rand absteht. Zudem zeigt sich ein Blanching der konjunktivalen Gefässe mittelperipher im Auflagebereich der Skleralzone. In diesem Fall muss die Scheiteltiefe x2 um wenigstens 150 μm erhöht werden, um eine gleichmäßigere Druckverteilung zu erzielen.
Im rechten Teil der Abbildung 17 ist die Skleralauflage ebenfalls zu flach. In diesem Fall ist zwar kein abstehender Rand zu sehen, allerdings zeigt sich auch hier ein Blanching der konjunktivalen Gefässe mittelperipher im Auflagebereich auf der Sklera. Dieses mittelperiphere Blanching darf jedoch nicht mit einem randnahen Blanching − bei dem die Scheiteltiefe x2 verringert werden muss − verwechselt werden. Wird in diesem Fall die Scheiteltiefe x2 verringert, nimmt das Blanching in diesem Bereich zu.
4.4.3 Abstehen des Randes in einem Hauptschnitt
Steht der Rand der Sklerallinse in einem Hauptschnitt ab (üblicherweise auf ca. 90° und 270°), ist die Anpassung einer skleral-torischen Rückfläche (i-MATRIX ST) induziert (Abb. 18).
Abbildung 18: Notwendigkeit einer skleral-torischen Rückfläche
Die Abbildung zeigt die Anpassung einer rotationssymmetrischen i-MATRIX auf einem torischen Bulbus. In diesem Fall zeigt sich superior ein ähnlich starkes Abstehen der Skleralzone. Um die Druckverteilung der Sklerallinse auf die Konjunktiva zu optimieren, ist die Anpassung einer Skleral-torischen Rückfläche induziert.
Würde die in Abbildung 18 dargestellte Sklerallinse superior auf der Sklera eine ideale Auflage zeigen, wäre die Anpassung einer skleral-quadrantenspezifischen Rückfläche empfehlenswert (i-MATRIX S-QSD).
Autor
Bernd Brückner, M. Sc. Vision Science and Business (Optometry)
Leiter Professional Service
Appenzeller Kontaktlinsen AG
Weitere Infos
Appenzeller Kontaktlinsen AG
Österreich
Postfach 29
A-6973 Höchst
Tel: 072 088 16 97 (Ortstarif)
Fax: 0800 296 589 (Gratis)
Schweiz
Hauptstrasse 22
CH-9042 Speicher
Tel: +41 71 344 20 00
Fax: +41 71 344 20 50
eMail: info@appenzeller-kontaktlinsen.ch
Web: www.appenzeller-kontaktlinsen.ch
Literaturverzeichnis
- Da Vinci, L. (1953). Codex of the eye, Manuscript D (circa 1508). Am J Optom. (30), S. 41-44.
- Ezekiel, D. (1983). Gas Permeable Haptic Lenses. Journal of the British Contact Lens Association , 6, 158-61.
- Fick, A. (1888). A contact lens. Arch Ophthalmol (19), S. 216-226.
- Tan, D., Pullum, K., & Buckley, R. (1995). Medical application of scleral lenses: 1. A retrospective analysis of 343 cases. Cornea , 2, 121-29.
- van der Worp, E. (2010). A Guide to Scleral Lens Fitting. (S. L. Society, Hrsg.)




























